Elger Dental
Dr. Nicole Elger, DMD
Request an Appointment
Like us on Facebook
Leave a Google Review
Instagram
(309) 265-0651
Elger Dental
10 Heartland Dr. Suite C Bloomington, IL 61704
Home
About
Our Team
Technology
Services
View All
Children's Dentistry
Crowns and Bridges
Dentures and Partials
Emergency Dentistry
Family Dentistry
General Dentistry
Gum Disease Treatment
Preventive Dentistry
Sleep Apnea
Tooth Extractions
Tooth-Colored Fillings
Smile Gallery
Patient Info
View Patient Info
Testimonials
Forms
Financial
FAQs
Blog
Contact
Elger Dental
>
Smile Gallery
>
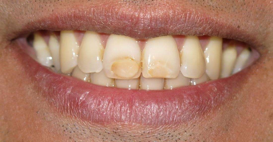
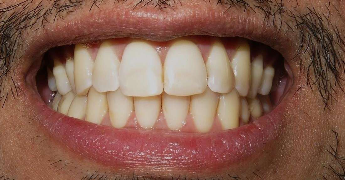
Composites (Tooth-Colored Fillings)
Composites (Tooth-Colored Fillings)
Return to Smile Gallery
Next
Drag the arrows back and forth to view complete Before and After views
We Warmly Welcome New Patients to Our Practice
Contact Us
If you have difficulty using our website, please
email us
or call us at
(309) 265-0651
View the
ADA Accessibility Statement
Turn on ADA Views
OK!
×
×
Contact Us Today
Give Us A Call
Elger Dental -
(309) 265-0651
Send Us an Email
Request an Appointment
Contact
Ready to Schedule an Appointment?
Request an Appointment
Have Questions? Contact Us:
Required Field
Your Name:
Phone:
Email:
Are you a new patient?:
Are you a?
New Patient
Current Patient
How would you like us to contact you?
Please choose
Email
Call
How did you hear about us?
Please choose
I'm an existing patient
Google/Bing
Mailer
Word of mouth
Social media
Other
Who Referred You?:
Appointment Preferences
Tuesday
Wednesday
Thursday
Friday
Your Message:
This site is protected by reCAPTCHA and the Google
Privacy Policy
and
Terms of Service
apply.
Sending...
×
This Patient's Experience
Loading Testimonial...
Loading Case...